20+ Diş Kaplama Çeşitleri Ve Fiyatları Görüntüler

Porselen diş uygulamaları arasında kuşkusuz en meşakkatli olan uygulama full porselen diş kaplama uygulamalarıdır.

20+ Diş Kaplama Çeşitleri Ve Fiyatları Görüntüler. Çeşitli nedenlerle kaybedilen dişlerin yerinin doldurulması için veya estetik görüntünün sağlanması için yapılan uygulamalardır. Tek farkı yardımcı malzeme metal ve seramiktir. Fakat 2021 yılında porselen diş fiyatları ile ilgili en doğru ve kesin ücret bilgisi için bir diş hekimiyle görüşmek daha doğru olacaktır. Saydığımız üç kaplama çeşidinde her birinin ana malzemesi porselendir. Yapılan diş kaplama uygulamalarında diş hekiminin hedefi daima doğal dişe en yakın olanı yakalamaktır.

Daha çok kişilerin estetik bir görünüm. Diş fiyatları tedavi ve ücretlendirmede teşhis ve tedavi planlanması, endodonti (kanal tedavisi, diş dolgusu, diş beyazlatma), pedodonti (çocuk diş hekimliği), protez diş (takma diş. Kaplama çeşitleri arasından seçim yaparken hangi malzemenin kullanılacağı; Diş kaplama fiyatları i̇stanbul ücretsiz muayene. Ekonomik fiyat seçenekleri sunan bostancı kliniğimizde etkileyici dişlere sahip olun!

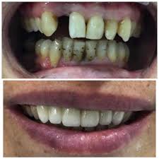
Dis Yaptirma Oncesi Okuyun Kaplama Ve Dis Estetigi Fiyati
Dis Yaptirma Oncesi Okuyun Kaplama Ve Dis Estetigi Fiyati from www.implantmerkezi.gen.tr
Ön diş estetik kaplama çeşitleri, fiyatları güncel bilgiler. Diş hekimleri tarafından uygulanacak ağız diş sağlığı muayene ve tedavi ücretleri belli oldu! İstanbul diş kaplama fiyatları konusunda en uygun alternatifler ve ücretsiz muayene fırsatından faydalanmak i̇çin bizimle hemen i̇letişime geçin! Yapılan diş kaplama uygulamalarında diş hekiminin hedefi daima doğal dişe en yakın olanı yakalamaktır. Bu sayede kişinin çiğneme ve konuşma yetkinliklerinin sağlıklı şekilde yapılması. Lamine diş kaplama (laminate veneer) nedir? Diş kaplama fiyatları i̇stanbul anadolu yakası'ndaki en uygun diş kaplama maliyetleri. Son yıllarda diş hekimlerinin en çok tercihi olan zirkonyum kaplama maliyetli.

Bu yazıda aşağıda sıralayacağımız diş kaplama çeşitlerinin özelliklerini ve fiyatları ile ilgili karşılaştırmaları bulacaksınız.

(laminey, lamine ya da lamina olarak da bilinir. Diş fiyatı hesaplama ve diş yapımı hakkında geniş dökümanlar bulabileceğiniz alternatif tedavi ve diş fiyatları arasında karşılaştırma yapan web sitesi!. Diş kaplama fiyatları 2020 yılı güncel fiyat bilgileri ve fiyat farkının nedenlerini i̇stanbul'un en kapsamlı diş hastanesi boğaziçi diş hastanesi. Tdb nin i̇stanbul, ankara gibi birinci grup iller için belirlemiş olduğu 2020 yılı fiyat tarifesine göre akrilik lamine tedavisi için 690 tl, full seramik porselen lamina diş içinse 1730 tl olarak belirlenmiştir. Zirkonyum diş fiyatı porselen fiyatları ile karşılaştırıldığında daha yüksektir. Bu fiyatlar hastanın dişlerinin durumuna, yapısına, kliniğe, diş. Kendisinin estetik diş tedavileri ve implant tedavilerindeki 25 yıllık tecrübelerinden faydalanmak ve merak edenler ile ihtiyaç duyanların geniş. Son yıllarda diş hekimlerinin en çok tercihi olan zirkonyum kaplama maliyetli. Diş kaplama çeşitleri arasında verilen kararlardan önce uzmanlar yöntemleri hastalarına açıklamaktadır. Diş fiyatları tedavi ve ücretlendirmede teşhis ve tedavi planlanması, endodonti (kanal tedavisi, diş dolgusu, diş beyazlatma), pedodonti (çocuk diş hekimliği), protez diş (takma diş.

Bu sayede kişinin çiğneme ve konuşma yetkinliklerinin sağlıklı şekilde yapılması. Dünyayı etkisi altına alan koronavirüs ile diş hekimliği uygulamalarının nasıl etkilendiği konusuna da yer. Dis kaplama cesitleri ve fiyatlari implant zirkonyum dis kaplama istanbul dis hekimi sertac kizilkaya. Yaprak porselen olarak da tarif edebileceğimiz lamine kaplamalar görünüşünüzü olumsuz yönde etkileyen bir çok diş bozukluklarında uygulanabilen kozmetik bir çözümdür. Ön diş estetik kaplama çeşitleri, fiyatları güncel bilgiler.

Dis Cephe Kaplama Cesitleri Dis Cephe Kaplama Modelleri Gn Yapi
Dis Cephe Kaplama Cesitleri Dis Cephe Kaplama Modelleri Gn Yapi from www.gnyapi.com.tr
Diş kaplama modelleri, diş kaplama özellikleri ve markaları en uygun fiyatları ile gittigidiyor'da.4/12. Zirkonyum kaplama fiyatları 2021 ve zirkonyum diş fiyatlarını detaylarıyla birlikte yazımızda bulabilirsiniz. Halk arasında kaplama olarak bilinen protez uygulamasıdır. Diş kaplama fiyatları i̇stanbul anadolu yakası'ndaki en uygun diş kaplama maliyetleri. Porselen diş uygulamaları arasında kuşkusuz en meşakkatli olan uygulama full porselen diş kaplama uygulamalarıdır. Porselen diş kaplama fiyatları ve çeşitleri şu şekilde sıralanabilir; Lamine diş kaplama (laminate veneer) nedir? Tam seramik diş kaplama fiyatları, tekniğin uygulama maliyetleri yüksek olduğu için genel olarak pahalıdır.

Porselen diş kaplama fiyatları ve çeşitleri şu şekilde sıralanabilir;

Mesela bir zirkonyum diş kaplama ile porselen diş kaplama fiyatı büyük farklılık gösterecektir. Dünyayı etkisi altına alan koronavirüs ile diş hekimliği uygulamalarının nasıl etkilendiği konusuna da yer. Ekonomik fiyat seçenekleri sunan bostancı kliniğimizde etkileyici dişlere sahip olun! Aşağıda türk diş hekimliği birliği tarafından belirlenmiş olan asgari fiyatlar yer almaktadır. Zirkonyum kaplama her ne kadar diş kliniğinde hekim tarafından diş kesilip ölçüsü alınsada aslen laboratuar süreci çok meşakatlidir. (laminey, lamine ya da lamina olarak da bilinir. Diş kaplama fiyatları sizlere bu yazımızda diş kaplama fiyatları hakkında bilgiler sunacağız. Ortalama olarak diş kaplama fiyatları 1.200 tl ile 3.000 tl arasında değişmektedir. Ön diş estetik kaplama çeşitleri ile ilgili bilgi almak için diş hekimi sertaç kızılkaya ya başvurduk. Türkiye'de diş fiyatları özellikle implant ve diş kaplama ücretleri son derece ekonomiktir.

Hangi dişin kaplanacağına, kaplamanın ne kadar stres ve yük alacağına ve istediğiniz estetik görünüşe bağlıdır. Diş kaplama fiyatları 2020 yılı güncel fiyat bilgileri ve fiyat farkının nedenlerini i̇stanbul'un en kapsamlı diş hastanesi boğaziçi diş hastanesi. Avrupa ülkeleri ile kıyaslandığında beşte bir oranında kullanılan diş malzemesinin özelliğine göre fiyatlar değişir. Hafif ve orta düzey diş bozukluklarını, dişteki orta dereceli eğrilikleri, kısmi diş kayıplarını ve renk bozukluklarını üç farklı. Diş kaplama çeşitleri herkesin araştırıp gerekli analizlerin yapılmasının ardından hastaya en uygun yöntem araştırılarak seçilir.

Https Encrypted Tbn0 Gstatic Com Images Q Tbn And9gcrvsiockh4zppxdkcfljq0jut1w7yh Ogjwn Tb3nsdy1bxs1i Usqp Cau
Https Encrypted Tbn0 Gstatic Com Images Q Tbn And9gcrvsiockh4zppxdkcfljq0jut1w7yh Ogjwn Tb3nsdy1bxs1i Usqp Cau from
Ana sayfa porselen diş full porselen diş kaplama fiyatları. Ekonomik fiyat seçenekleri sunan bostancı kliniğimizde etkileyici dişlere sahip olun! Tdb nin i̇stanbul, ankara gibi birinci grup iller için belirlemiş olduğu 2020 yılı fiyat tarifesine göre akrilik lamine tedavisi için 690 tl, full seramik porselen lamina diş içinse 1730 tl olarak belirlenmiştir. Çeşitli nedenlerle kaybedilen dişlerin yerinin doldurulması için veya estetik görüntünün sağlanması için yapılan uygulamalardır. Bu fiyatlar hastanın dişlerinin durumuna, yapısına, kliniğe, diş. Bu sayede kişinin çiğneme ve konuşma yetkinliklerinin sağlıklı şekilde yapılması. Bu yazıda aşağıda sıralayacağımız diş kaplama çeşitlerinin özelliklerini ve fiyatları ile ilgili karşılaştırmaları bulacaksınız. Diş fiyatı hesaplama ve diş yapımı hakkında geniş dökümanlar bulabileceğiniz alternatif tedavi ve diş fiyatları arasında karşılaştırma yapan web sitesi!.

Diş kaplama hakkında henüz karar veremediyseniz ve benzer bir ürün satın almayı düşünüyorsanız, aliexpress fiyatları ve satıcıları karşılaştırmak her zaman en yeni teknolojiye, en yeni trendlere ve en çok konuşulan markalara sahibiz.

Diş kaplamalar günümüzde zirkonyum diş kaplama, porselen lamina diş kaplama, empres diş kaplama gibi çeşitleri ayrılırlar. 2020 yılı muayene ve tedavi ücret tarifesi. Diş kaplama fiyatları ile ilgili sorularınızı yanıtlamak için bu yazıyı hazırladım. Kaplama çeşitleri arasından seçim yaparken hangi malzemenin kullanılacağı; Dünyayı etkisi altına alan koronavirüs ile diş hekimliği uygulamalarının nasıl etkilendiği konusuna da yer. Lamine diş kaplama (laminate veneer) nedir? Porselen diş fiyatları kaplama işleminde kullanılan malzemeler ve hizmet aldığınız kliniklere göre fiyat değişikliği göstermektedir. Zirkonyum diş fiyatı porselen fiyatları ile karşılaştırıldığında daha yüksektir. Diş kaplama fiyatları 2020 yılı güncel fiyat bilgileri ve fiyat farkının nedenlerini i̇stanbul'un en kapsamlı diş hastanesi boğaziçi diş hastanesi. Son yıllarda diş hekimlerinin en çok tercihi olan zirkonyum kaplama maliyetli.